티스토리 뷰
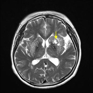
뇌경색 초기증상 모두 정리했어요
이번 포스팅에서 뇌경색 초기증상 모두 알아보려고 해요. 한 번쯤은 뇌경색, 뇌출혈, 뇌졸중에 대해서 들어보신 적이 있을꺼에요.
방송을 보아도 이러한 병에 걸려서 힘들어하는 연예인들을 많이 볼 수 있어요.

연예인이라는 직업도 스트레스가 아주 심한 것 같더라구요. 최근에 방송을 보니 새박사님이었던 윤무식 교수님도 뇌졸중으로 전기휠체어를 타고 경주까지 새를 보러 가시더라구요.
그러나 낯설게 느껴지는 분들도 제법 많을 것으로 생각이 들어요.



뇌경색 초기증상 - 어지럼증
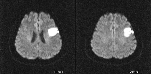
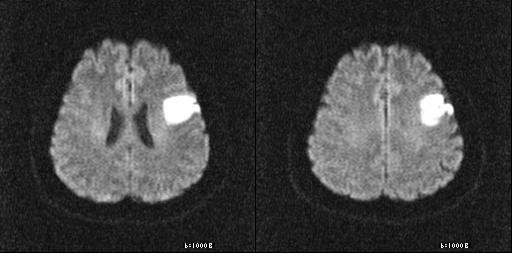
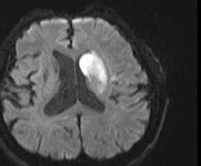
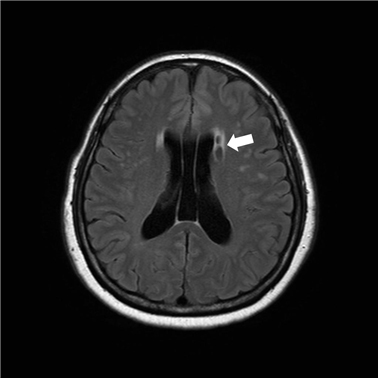
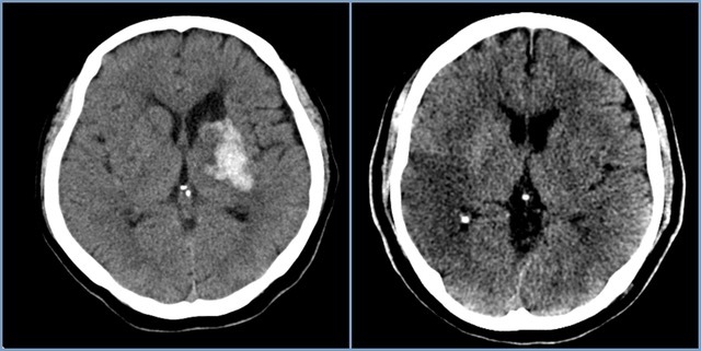
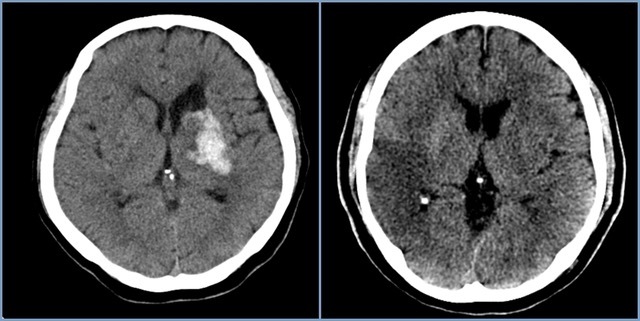
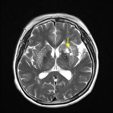
특별한 변화 없이 가만히 있다는데 땅이 움직이거나 주위의 사물이 돌아가는 느낌이 드는 등 어지럼증이 연속된다면 뇌경색 초기증상을 의문스러워해 볼 수 있습니다. 뇌경색으로 인해 혈액이 제대로 전달되지 못해 뇌가 정상적으로 작동하지 않아 생기는 증상이고요.
뇌경색 초기증상 - 안면 마비
안면 마비는 얼굴의 일부분이 잠깐동안만 일그러지는 증상이예요. 뇌의 운동 관련 영역이 손상되면 나타나는데, 간혹 '울상'이라고도 불리며, 입술이 한쪽으로 치우쳐지거나 눈꺼풀이 한쪽으로 내려가는 것을 보입니다.



뇌경색 초기증상 - 피로감
피로감을 인지하는 원인은 다양하지만 뇌경색이 출현해도 피로감을 깨닫을 수 있고요. 뇌혈관이 막히면서 뇌에 혈액과 영양소가 전파되지 못하기 되어주므로 늘 피곤한 증상이 일어날 수 있고요.



뇌경색 초기증상 - 기억력 저하
뇌경색으로 인해 기억을 도맡는 뇌의 신경이 깨진다면 기억력이 감소될 수 있어요. 기억이 잘 안 나거나 걸핏하면 잊어버린다던지 하는 증상이 나타나서난다면 검사를 받아서 확인하는게 좋으며 심할 경우 치매로 이어질 수도 있어요.






뇌경색 초기증상 - 시야 장애
가파르게 물체가 잘 보이지 않거나 두 개로 나누어서 보이는 경우가 생깁니다. 한쪽 눈만 보이거나 양쪽 눈에 이상이 생기기도 하더라고요. 한 접시에 두 가지 음식이 나누어서 담겨 있어도 한쪽만 보이며 다른 쪽의 음식은 인지하지 못하더라고요.






뇌경색 초기증상 - 손발의 운동장애(좌우 어느 한 쪽에서 출현)
주로 한쪽 팔다리가 마비되어 근육이 작동하지 않게 된다고 합니다 경색의 정도에 따라 운동 장애의 규모가 다르다고 해요.
- 두 손을 위로 올렸을 때 한쪽 손이 안쪽으로 떨어진다
- 한쪽 팔다리가 무겁게 느껴져 불규칙하게 작동할 수 없다
- 서 있으면하는 휘청거려서 정확히 걸을 수 없다
- 찻잔 등, 갑자기 물건을 떨어뜨린다
- 젓가락을 잘 들지 못한다, 글씨를 잘 쓰지 못한다






뇌경색 초기증상 - 언어 장애
언어 장애는 최고 자주 보이는 초기 증상 중 1개입니다. 환자는 말을 하거나아니라면 요령을 얻는 데 곤경을 겪으며, 일시적으로 불확실한 말을 하거나 언어가 뒤섞일 수도 있어요. 이는 뇌의 언어 관련 영역에 손상이 생겼을 때 나타나는 증상이라고 합니다.






뇌경색 치료 방법
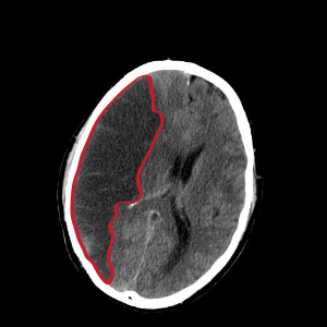
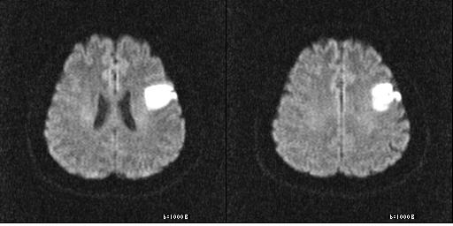
뇌경색 초기증상이 의심된다면 지금 바로 병원을 내방해 진단을 받고 적절한 치료를 손대는 것이 후유증을 감하는데 중요 해요. 시간이 관건이며, 뇌세포의 괴사, 증상 악화, 너무 늦으면 사망에 이를 수 있는 뇌혈관의 괴사를 피하기 위하여 증상이 나타난 뒤에 4시간 이내에 잘 맞은 약물, 시술 또는 수술을 신속히 실시해야 합니다. 치료로 즉시 하셔야 해요.
뇌경색 예방법
뇌경색 을 예방하기 위해서는 위험요인의 관리가 제일 중요하고요. 대표적인 위험 요인으로는 고혈압, 당뇨, 심장질환, 고지혈증, 비만 등이 있으며 그 말고도 수면 무호흡증이나 운동부족, 과음 등이 이에 해당하고요. 이런 위험인자를 지닌 사람은 뇌경색과 같은 뇌졸중 발생 위험이 그 이상으로 더 많으므로한다고 합니다. 콜레스테롤을 줄이는 건강식단, 꾸준한 운동, 금연, 금주, 혈압관리, 혈당관리 등을 하여 위험인자를 낮추는 것이 좋습니다.






현재까지 뇌경색 초기증상에 대하여 알아보았습니다. 뇌경색은 예사로 즉각적인 치료가 필요한 질병으로 자가진단이 쉽지 않다고 하면, 바로 의료기관에 접수한 경우 혹은 아니라면 응급실로 날아가는 것이 좋다고해요.
뇌경색 뿐 아니라 많은 질병들은 꾸준히 주기적인 검진을 통하여 체크는 해주는 것이 바람직해요.
연속으로 운동하고 균형 잡힌 식사를 하시는게 삶을 살아가면서 반드시 필요가운데 하나이라고 예상되는데요.
당초부터 무리하지 않고 천천히 보강하여 나가면 건강을 잘 챙기는데 도움이 많이 될꺼에요.






<같이 보시면 좋은글>
어지럼증의 원인 모두 정리
어지럼증의 원인 모두 정리 이번 포스팅에서 어지럼증의 원인에 관해서 모두 정리해볼꺼에요. 어지럼증은 대다수 한 두번 정도는 경험해볼 정도로 상식적으로 발생하는 증상이라고 할 수 있고
info-supply.cu25.kr
공황장애 증상 및 극복방법
공황장애 증상 및 극복방법 이번 포스팅에서 공황장애 증상 및 극복방법에 대해 알아보려고하고요. 공황장애는 예측하기가 어려울 정도로 큰 불안감과 공황 발작 등 심리적 또는 사람의 몸적으
info-supply.cu25.kr
마그네슘 부족현상 총정리
마그네슘 부족현상 총정리 이번 포스팅에서 마그네슘 부족현상에 관해서 상세히 알아볼꺼에요. 마그네슘은 우리의 신체에 포함된 무기질 중에 하나로 에너지를 만들어 주는 단계에서 근육을
info-supply.cu25.kr



'생활정보' 카테고리의 다른 글
| 노니 효능 10가지 및 부작용 총정리 (0) | 2023.05.19 |
|---|---|
| 위암 초기증상 10가지 총정리 (0) | 2023.05.19 |
| 어지럼증의 원인 모두 정리 (0) | 2023.05.19 |
| 공황장애 증상 및 극복방법 (0) | 2023.05.19 |
| 마그네슘 부족현상 총정리 (0) | 2023.05.19 |