티스토리 뷰
간경화 초기증상 주요증상
오늘 글에서는 간경화 초기증상 주요증상에 대해서 알아보도록 하겠어요. 우리 육체에서 재생이 제일 잘되는 장기는 '간'입니다. 우리 육체에서 해독역할을 하는 역할이다 보니 재생 재능이 뛰어날 수밖에 없는 건 마땅히일 것입니다.
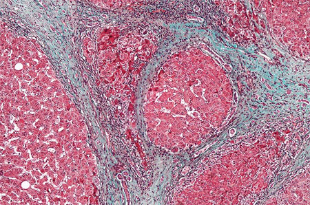
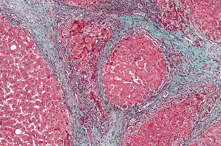
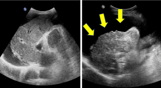
이런 간이 굳어져서 문제가 생기는 것을 간경화, 또는 간경변이라 의합니다. 일반인들은 주로 간경화라 말하고, 의료진이 보통 간경변이란 용어로 활용하고 있고 있습니다. 즉 간이 딱딱하게 굳어져 간 기능이 낮아지는 간질환을 지칭하는 같은 말입니다.

피부에 붉은 반점이 거미 모양으로 나타나거나 손바닥이 정상인보다 붉어지고, 얼굴이 거무스름해지고, 눈이 노래지고, 이유 없이 배가 부풀어 오르거나, 다리가과하게 붓는 경우 등이 간경변증 합병증의 표면화된 증상이죠.
간경화라 부르든 간경변이라 부르든 간에 간이 강인하게 되면 큰일이 발생한 것이죠. 정상 기능을 가능한 간세포의 수가 적어지면 단백질 합성, 해독작용 등 간 기능에 장애가 유발되고, 간이 굳어져 간내 혈액순환이 참 어려워짐에 따라 간 문맥압이 높이고, 황달, 위장관 출혈, 복막염, 간성 혼수, 복수, 하지 부종 등 여러 합병증이 일어합니다.
이미 굳은 간은 반환하는 데에도 한계가 있어요. 다만 간경변이 발생한 원인에 대한 치료를 하면 굳었던 간이 정상까지는 아니긴 하지만 부분적으로 회복될 수는 있어요.



간경변 발생의 4대 원인이 B형 간염, C형 간염, 알코올성, 비알코올성 지방간인데, 이중 B형 간염과 C형 간염에 대하는 것은 항바이러스제로 약물 치료를 시행할 수 있으며, 알코올성 지방간은 술을 끊는 것이, 비알코올성 지방간은 식이 제어 및 운동을 통한 궤도적 체중 감량이 치료법이죠.
1. 간경화 원인
우리나라에서 간경변증의 주요 요인으로는 만성 B형 간염이 70% 정도로 최고 많고, 그다음에는 C형 간염과 알코올성 지방간이고요.
그 밖에도 자가면역질환에 의한 간질환, 비알코올성 지방간, 철의 대사장애로 인한 혈색소 침착증 등이 있죠.
간경화의 이유로는 대다수 만성 B형 간염이라고 할 수 있어요. 만성 B형 간염을 앓고 있는 사람이 간경화 환자 약 69% 정도로 제일 많은 것으로 확인되었요.
만성 B형 간염 말고는에도 술을 수시로 흡수하는 성인이 주로 걸리는 알코올성 간염도 간경화의 원인으로 가득히 가지고, 지방간, 경화성 담관염 등 유전적인 질환으로도 간경화를 발생시킬 수 있다고 합니다.
즉, 간경화의 이유가 되는 것 중 생활 습관으로 일어날수 있는 원인으로는 과한 음주가 대표적이라고 할 수 있겠습니다.
| ⏩부종에 좋은 음식 19가지 | ⏩단백뇨에 좋은 음식 15가지 |
| ⏩비듬 제거 방법 13가지 | ⏩부정맥 증상및원인 예방법 |
2. 간경화 초기 증상
간경화 초기증상으로 간경화가 진행이 되면 담즙의 배출이 원활히 이루어지지않고 담즙 색소라고 하는 노란색의 빌리루빈이 혈액 속에서 상승하게 되고 조직등이 침착되어 노란색을 띠게 되기도 합니다.
따라서 간경화에 걸린 분들은 피부와 눈의 흰자가 노란색으로 보일 수 있는 황달이 발생할 수있다고 합니다.
간경화 초기 증상으로는 무증상이나 피로, 복부의 통증, 식욕부진과 오심, 체중의 감소, 황달, 피부에 거미 모양 혈관종 같은 증상이 있을 수 있죠.












간의 기능은 단백질 대사로, 단백질을 소화하는 스탭에서 암모니아를 안전하게 분해하는 역할을 도맡는, 간경화 초기증상으로 조직이 깨진 간은 단백질과 지방을 해독하지 못하고 소화과정에서 발생한 독성 물질이 몸 실외로 누출되지 못하게 된다 하였습니다.
이러한형식으로 독성 물질이 실외로 배출되지 못하면 속이 거북하고, 구역질이 나며 매스꺼운 감정을 느끼게 될 수 있습니다.
간경화 초기증상으로 간의 섬유화에 따라 조직이 구조변경가 일어나고, 간의 혈청 단백질의 한가지인 알부민의 합성 기능도 저하되게 된다고 합니다. 알부민 합성 기능이 저하되면 알부민이 작게 변하며, 수분이 혈관내에 들어가지 못하고 복부와 손, 발의 피하조직이 부종 증상을 유발하더라고요.
그리고 대장에서 간으로 혈액을 운반하기 위해 문맥이라고 부르는 큰 정맥의 압력이 상승해서 대장에서 간으로 혈액을 수어긋나는 문맥이라고 호출하는 큰 정맥의 압력이 높게되 문맥압 항진증, 림프가 림프절 바깥으로 새어 나오는 경우도 있고요. 이것들이 복부에 새어 나오면 복수가 되어버립니다.
3. 간경화 주요증상
말기 간부전 상태가 되고 나면 간성 뇌증(혼수)이 일어날 수 있어요. 그 외 앞가슴에 거미줄 모양의 모세혈관 확장(거미상 혈관종)이 생겨날 수 있다하며, 손바닥이 붉어지는 수장 홍반이 생성되기도 합니다. 남성의 경우 유방이 여성처럼 커지게 되었다거나 고환이 작아질 수 있어요. 여성의 경우 월경이 불규칙해지기도 합니다.
간경변증이 가득히 진행한 차후엔 거의 합병증 형태로 출현하고 이 경우를 ‘비대상성 간경변증’이라고 합니다. 식욕 부진, 소화불량, 복부의 불쾌감 등 비색다른적인 증상이 간경화 증상으로 일어날 수 있어요. 복수가 차면 복부의 팽만감과 하지 붓기가 등장하고 심지어 숨이 차기도 합니다. 또한 식도와 위 정맥류가 발생해 심하게는 출혈할 수 있어요.












자신의 직계 가족 중에 평소 간으로 인해 고생한 분이 있을 경우 간경화 초기증상을 좀 더 유의깊게 보시는 것이 좋겠습니다. 본인이나 가족 중에 b형 간염 보균자가 있으면하는, 정기 검진이 꼭 필요하겠습니다. 또한 당뇨 질환이 있거나 고혈압 있는 사람들도 간손상이 쉽게 일어날수 있다고 하네요.
술을 좋아하고 흡연을 하시는 분들은 양을 줄이시는 것이 좋겠고, 튀긴 것과 밀가루 음식, 패스트 푸드, 인스턴드 등의 음식도 독소를 축적할 수 있으므로 가급적 줄이는 게 좋습니다. 그리고 일주일 최소 3회 이상 땀이 날 정도의 유산소 운동을 매일 해주시면 건강 전반에 도움이 되겠죠.
4. 간경화 치료법
최고 값진 원인인 만성 B형 간염과 C형 간염에 대하는 것은 굉장히 효과적인 약제들이 이미 생산되어 있기에, 간경변증의 초기에 잘 치료하면 악화를 방지할 수 있죠. 복수가 생길 경우 이뇨제를 이용하여 증상을 제어하며, 이 방법이 여의치 않을 경우에는 거듭해서 복수를 뽑아주게 되기도 합니다. 과도한 간경변의 경우에는 간이식을 통해 완치에 이르는 방법도 있죠. 어느 원인이든 금주가 무척 중요합니다.
간경화 발생 주요 요인인 B형 간염과 C형 간염에는 치료제가 있어 초기에 이와 같은 질병에 조치이 가능할 시에는 중기, 말기로 나쁘게 되는 것을 억제할 수 있습니다. 그리고 이러한 증상을 알았다면 맹세코 술을 마시지 않는 것이 중요하며 간경화가 너무한 경향이라면 간이식을 받아야 완치에 이르를 수 있으니까 초기에 대처을 하시는 것이 좋다고 하며 보통 때 생활습관을 심화하여 균형잡힌 식사와 알코올 관리를 동원해 간에 무리가 가지 않아도 되도록 주의하시는게 아주 괜찮을듯동등합니다.
어느 까닭으로든 간경화 초기증상에는 술을 끊는 것이 무척 중요해요. 간경화 유의사항 간은 모든 음식 및 약물의 1차 대사 및 해독 기관이라고 합니다. 따라서 가장 흔하고 극심한 증상으로 출현하는 약제의 독성에 주의를 기울여야 하더라고요. 특별히민간에서 '간에 좋다'고 하는 생약이나 민간요법은 과학적으로 거의 입증되지 않았는데, 이를 받아들이면 외려 병에 걸린 간에 독성 간염이 나타날 수 있어요.












간경화가 어느 정도 진행이 돼서 복수가 차는 증상이 나타나게 되었다면 이뇨제를 동원해 조절하게 됩니다. 하지만 이뇨제를 사용해겠지만 호흡이 곤란하고 복부에 통증이 나타난 경향이라면 복수 천자를 시행하는데, 복수 천자가 가장 빠르고 효과가 좋은 방법이라고 합니다. 복수 천자는 주사기를 활용해서 직접 배에서 복수를 빼내는 방법이라고 할 수 있다하며, 이 방법은 바로 복수가 빠지었으므로 복수로 인한 불편함은 빠르게 해소되지만 잠정적인 방법이라서, 일정 기간이 경화하다 보면 복수는 다시 차게 되기 때문에 복수를 되풀이해서 빼주어야 합니다. 또한 복수가 있는 간경화를 앓는 환자들 중 자발성 세균성 복막염이 생기게 되는 상황가 있다고 하는데, 이 경우에는 항생제를 이용해서 치료하게 되기도 합니다. 세밀한 것은 내방하셔서 전문의와 상의하는 것을 권유해 드려볼께요 할게요.
간 기능이 빠르게 악화됐거나 급성 간부전으로 사망하게 된다면이고요. 따라서 간경변증 환자는 '받아들이면 간에 이롭다'는 관념을 버리고 '음식 이외의 약은 가능한 한 복용하취하지 않는다'는 원칙을 절대적으로 준수해야 한다고 하고요.
5. 간경화 생활수칙
간경변증 환자는 짜거나, 단단하거나, 맵거나, 질긴 음식들은 제한해야 한다. 또 불규칙한 과식도 피해야 한다. 영양장애가 대부분 동반되기에 균형 잡힌 영양섭취를 해야 하고, 필요한 경우에는 비타민, 아미노산 제재 등의 영양보충을 해야 한다. 변비가 있을 경우, 섬유소 제재 또는 락툴로즈를 투여하고, 과격한 운동, 등산, 힘든 일 등등을 제한해야만 합니다..
특히, 식도정맥류 출혈이 빈번한 환자는 환절기 온도 변화, 과로 혹은 생활 피로 등등에 유의해야 한다. 따라서 충분한 수면과 안정을 필요로 하고, 질병에 대해서 부정적인 감정을 피하며, 정서적인 안정과 긍정적인 태도가 필요합니다. .






6. 간경화 예방방법
약물, 한약, 건강기능음식 등은 간기능에 영향을 줄 수 있으니까 섭취 전에 전문의와 상담을 받으셔야 하고요. 짠 식품을 섭취하면 복수가 나타나서 불편해질 수 있기에 아주많이 싱겁게 복용하는 것이 바람직해요. 증상이 나타나거나 아픈 곳이 발생하면 바로 병원에 방문해 진료를 받으시는 게 좋좋다고 합니다. 위험인자를 제거함으로써 억제할능한 방법이 있고요.
일전에 B형 간염 백신을 접종하고, C형 간염 바이러스에 감염되지 않을수 있게 잘살펴야 하더라고요좋습니다. 또한 과한 음주를 안하는 것이 중요해요. 일정기간인 검사를 통해 조기 발견하게수 있게 하고, 식이요법을 통해 막아주는 것 또한 좋아요. 고단백 식이는 간의 회복과 재생에 도움이 가능하나 간기능이 낮아져 있다고 한다면에는 저단백 식이를 하는 게 좋습니다.
간경화를 방지하기 위하는 것은 일정기간인 검진은 필수이며, 증상이 발생 한 경우 자연 치유를 기대하지마시고 맥시멈 빨리 전문병원에가셔서 의료진에게 검사 및 치료를 받으시는 것이 총명한 방법임을 설명드리며, 글 마칩니다.








같이 읽으면 좋은 글
췌장암 초기증상 10가지 총정리
췌장암 초기증상 10가지 총정리 오늘은 췌장암 초기증상 10가지에 대하여서 알아보도록 하겠습니다. 췌장은 명치끝과 배꼽 사이 상복부에 자리잡은 일종의 소화기관으로서 각가지 소화 효소와
info-supply.cu25.kr
콜레스테롤 낮추는 음식 17가지
콜레스테롤 낮추는 음식 17가지 오늘 글에서는 콜레스테롤 낮추는 식품 17가지에 대하여서 알아보도록 하겠어요. 빵, 케이크, 설탕이 든 시리얼, 사탕과 같은 정제된 탄수화물은 콜레스테롤을 늘
info-supply.cu25.kr
'생활정보' 카테고리의 다른 글
| 당뇨에 좋은 운동 9가지 총정리 (0) | 2023.07.03 |
|---|---|
| 감기 빨리 낫는 방법 14가지 (0) | 2023.06.30 |
| 환전싸게하는 방법 꿀팁 총정리 (0) | 2023.06.30 |
| 혈뇨가 나오는 이유 치료법 (0) | 2023.06.30 |
| 칸디다균 치료방법 (0) | 2023.06.30 |