티스토리 뷰
백반증 원인 3가지, 초기증상, 치료방법 알아봤어요
오늘 글에서는 백반증 원인 3가지, 초기증상, 치료방법에 대해서 알아보도록 하겠어요. 백반증은 경계가 분명한 백색의 반점이 피부에 발생하는 증상을 의합니다. 피부색을 나타내 주는 멜라닌 세포가 파괴되어 출현하는 증상으로 여기까지 명료한 원인은 규명되지 않고 있죠.
다만, 자가면역세포의 이상 증상으로 백반증이 생겨난다는 자가면역설과 멜라닌 세포 스스로 파괴된다는 자가 파괴설, 비정상적인 기능을 가진 신경세포가 화학물질을 분비하여 멜라닌 세포를 손상시킨다는 신경 체액설 등을 병이 발생 원인으로 보기도 하고 있죠.

각각의 학설이 또다른 원인으로 백반증을 발생시키기 보다는 각기의 원인이 복합적으로 백반증을 발생시킨다고 보기도 하고 있습니다. 백반증 환자 중 약 30%에서 유전적 소인이 발견되고 있다고 하며 격렬한 스트레스와 물리적 압박, 자외선 과다 노출 등으로 일상에서 백반증을 일으키는 요인으로 분석하고 있습니다.
백반증은 유아부터 노인 인구까지 많은 종류의 연령층에서 병이 나서하지만 젊은 층에서 발생기회가 높다. 피부색이 남들과 다른 것 말고는에 다른 통증이 없는 백반증이지만 피부색이 다름으로 인한 심리적인 거부감으로 대인관계에서 위축감을 느끼면서 지나친 경우 대처안 기피증까지 생겨날수 있어 근처 사람들도 백반증 환자에 대한 배려가 절실속있게 필요한 피부질환이죠.



증상은 생후 몇 년에서부터 수십 년 향후에 부분적으로 하얗게 반점이 나타나게 되었는데 초기에는 조그마한 크기의 흰 반점으로 별다른 자각증상은 존재하지 않아요.
사람의 몸 한 부위에서 작은 흰점으로 개시하여 급히 전신으로 번질 수가 있고 지나친 경우에는 치료가 어려워질 수가 있어서 증상을 발견을 했으면 서둘러 치료를 받아서 확인하는게 좋고요. 증상에 따라 국소형과 분절형, 전신형 그리고 선단 안면형으로 분파할 수 있습니다.
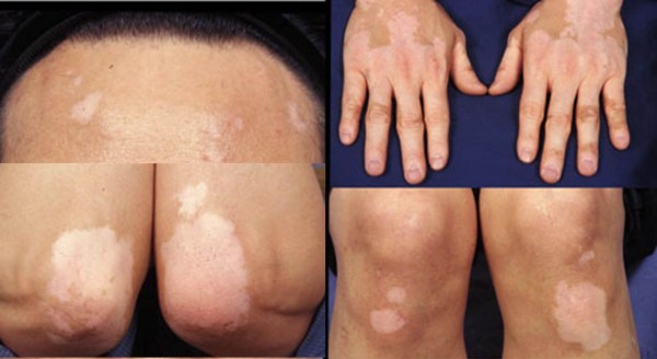
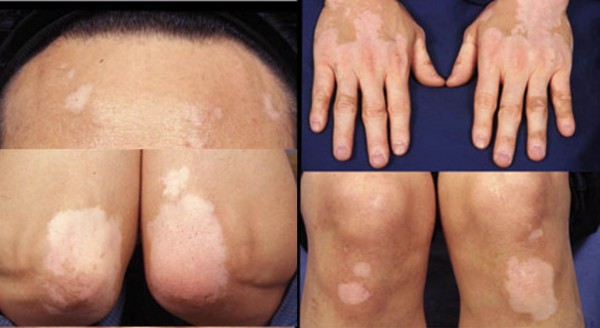
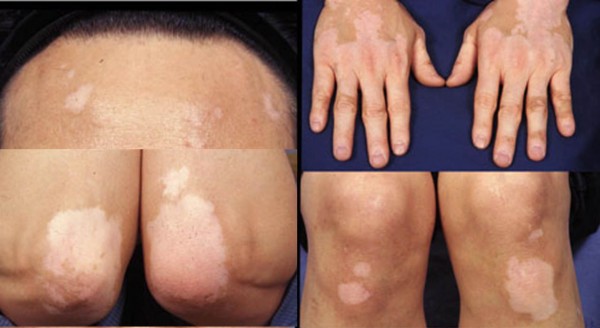
백반증은 멜라닌 세포가 상실되어 피부에 다양한 크기와 모양의 백색반(흰 반점)이 출현하는 질환을 의미하더라고요. 백반증은 가장 상식적으로 발생하는 후천적 탈색소 질환으로, 전체 인구의 0.5-2% 정도로 출현하고으있다고 합니다.
인종이나 지역에 문제될 것 없이 유발되며 10~30세에 최고 충분히 발생하더라고요.
한 부위에 한개나 여러 개의 흰 반점이 일으키게 되는 국소형, 몸의 좌우 어떠한 한쪽에서만 띠처럼 생기는 분절형, 전신에 넓게 퍼지게 되는 전신형, 얼굴과 손발 끝 부분에 생겨나게 되는 선단 안면형이 있습니다.
흰 반점은 주로 손 아니면 발, 팔꿈치, 무릎, 얼굴, 아랫배 등등의 돌출된 부위에 잘 생기며 스크래치를 받게 될 경우 병변이 생길 수가 있어서 주의가 필요해요. 통증이나 가려움 등은 없지만 피부색 변환로 인해 심리적인 고통을 경험할 수가 있어서 백반증 치료형식으로 심리적 치료를 받는 것도 좋고요.
백반증 발생 원인
신경체액설은 멜라닌 세포가 신경능에서 일어나게 되며, 백반증이 신경절을 따라 분포를 보이거나 신경 손상 아니면 정신적 스트레스 후에 발생할 수 있다는 점에 의해 뒷받침된다 하였습니다.
외에는고도 백반증을 촉발하고 유독하게키생성하는 요인으로는 항산화 효소 부족, 비정상적 칼슘 섭취, 외상, 햇볕에 의한 화상 등이 있어요.
백반증의 정확한 이유가 되는 것은 아직 드러나지 않았습니다. 그러나 백반증의 높은 가족력을 감안할 때 유전적 소인이 관련되어 있을 것으로 추정됩니다.



백반증의 이유가 되는 것에 조치하는는 면역설, 신경체액설, 멜라닌세포 자가파괴설이라는 3가지 학설이 제기되어 있다고 하는데, 이 학설들에서 제시하는 요인들이 복합적으로 작용하는 것으로 보여집니다.
면역설은 백반증 환자에서 높은 비율의 기관 각별한성 자가항체와 멜라닌세포계 항원에 대한 자가항체의 발생이 많다는 사실에 의해 뒷받침된다고 합니다.
백반증 원인 - 면역 이상
자가면역질환의 같은 종류로서 면역 끝으로 인해서 병이 나서하죠. 많은 스트레스에 표출되어 면역에 이상이 발생을 하고 병이 나서한다는 것입니다. 세균 등으로부터 몸을 지키는 백혈구 등등이 자신의 몸의 세포를 공격을 하시는게 자가면역질환으로 백반증의 경우에 면역세포가 멜라닌 색소를 형성을 하는 세포를 직접 파괴하여 생겨나게 되겠습니다.
백반증 원인 - 자율신경 이상
백반증의 원인으로 자율신경 이상, 유전 등등이 있으며 가족 중에 여러 사람이 백반증을 앓았다면 유아기에 나타나게 될 수 있죠. 유전, 면역, 스트레스, 햇볕 화상 등의 각가지 요인으로 인해 나타날 수 있으며 명료한 원인은 아직 노출되지 않았어요.
백반증 원인 - 활성산소
활성산소는 백반증 원인이 될 수가 있죠. 백반증인 사람의 피부 세포는 활성산소를 제거를 하는 실력이 낮아져 있다는 연구 결과가 있고, 활성산소가 제거되지 않은 상태가 지속이 되면 멜라닌 색소가 감소되게 되겠습니다.



백반증 치료 방법
외과적 치료 형식으로는 박피술, 중간층 피부 이식, 펀치 이식, 흡입 수포술 등을 이용한 피부 이식술과 자가 멜라닌세포 이식 등이 실시되고 있습니다.
전신 광화학 요법은 광민감제인 소랄렌을 흡수하고 2시간 후에 자외선 A에 조사(노출)하는 방법이라고 합니다. 보통은 일주일에 2~3회 시행하며 광선 조사량을 점차 늘려갑니다.
영향 받는 부위가 인체의 1~2% 이내인 경우, 국소 광화학 요법을 시행할 수 있는존재하는데, 광민감제를 국소 도포하고 1시간 향후 자외선 A를 조사하는 방법이라고 합니다.
약물, 자외선, 수술, 한방 등등 자신에게 맞는 치료법을 찾아 연속적으로 치료를 하고강력한 햇볕에 노출되는 것을 유의해야 합니다. 젊었을 때는 없었는데 나이가 들게 되면서 흰 점이 생겼다 사례가 있죠.
이는 노인성 백반으로 50대에서는 대략 70%의 사람들에게 생겨난다고 합니다. 자각증상이 없다고하고 안좋아질 위험이 없으며 타인에게 감염이 되는 것도 아니기에 걱정할 필요는 없답니다.
노인성 백반증 원인은 피부 노화로 인하여서 멜라닌 색소를 만들어 주는 색소 세포 기능이 저하되고 그 숫자가 줄었기 때문으로 일종의 노화에 의한 증상이라 볼 수 있죠.
백반증 치료 기법으로는 레이저 치료와 광선치료, 국소적 약물치료 그리고 수술 등이 있죠. 부위가 좁을 경우에는 스테로이드제 연고를 도포를 하였거나 주사로 치료를 할 수가 있으며, 규모가 넓을 경우에 광선치료를 하게 되겠습니다.
치료가 힘든 난치성 피부질환이지만 연속으로 치료를 받고 균형 잡힌 식생활을 해준다면 개선에 도움될 있죠.
흡입 수포술은 정상 피부에 음압을 가하여 생성한 수포를 병변 부위에 옮겨 붙이는 방법으로 이러한 방식을 통해 안정된 병변에서 좋은 결과를 고대할 수 있습니다.
광선 요법 광선 요법은 피부를 자외선에 노출시켜 피부 색소 생성을 도맡는 세포인 멜라닌 세포의 생성을 자극하는게이라고 합니다. 이는 백반증으로 인한 흰 반점을 줄이는 데 도움이 될 수 있습니다. 광선 요법은 의사 사무실이나 집에서 특수 램프를 사용하여 시행할 수 있고요.
하지만 자외선에 오랜 세월 노출되면 피부암 및 기타 피부 손상의 위험이 높아질 수 있습니다.



탈색 탈색은 국소 약물을 이용하여 피부에 남아있는 색소를 제거하여 피부 톤을 균일하고 밝게 생성해 주는 것이예요. 이 치료는 예사로 신체의 많은 부분을 덮는 광범위한 백반증이 있는 사람들에게만 권장된다고 합니다.
쌀알 크기로 여성보다는 남성에게 가득히 등장하고 몇 개에서 수십 개까지 생길 수가 있죠. 노인성 백반증 치료방법은 없다하며 특출난 치료를 하지 않다고 해도 문제가 되지 않죠. 다만 희게 변일환이 자외선에 계속해서 노출되면 피부암으로 발달할 수도 있어강력한 자외선은 멀리하는는게 좋다라며, 보통 때에 면역기능을 향상하시는게 좋고요.
면역력은 잘 자고 잘 받아들이면 것을 근거로 스트레스가 누적되지 않게끔 하는 것도 중요합니다.
병변이 작은 경우, 스테로이드 연고나 트리암시놀론 국소 주사를 국소적으로 사용할 수 있습니다. 병변이 광범위한 경우에는 전신 스테로이드를 경구 주입합니다.
엑시머 레이저 엑시머 레이저 요법은 특수한 유형의 자외선을 활용하여 피부의 멜라닌 세포 생성을 자극하고요. 이는 백반증으로 인한 흰 반점을 줄이는 데 도움을 받을 수 있다고 합니다.
백반증 완치사례는 흔하지 않지만, 지속적인 치료 및 예방으로 증상이 이완하는 추세에 있습니다.
피부 이식 피부 이식은 신체의 한 부위에서 피부를 채취하여 환부에 이식하시는 입니다. 이는 피부 색소 침착을 회복하고 백반증으로 인한 흰 반점을 줄이는 데 도움받을 수 있어요.
백반증 예방
백반증 (Vitiligo)는 약물 치료나 수술을 통해 현저히 치료될 수 없지만, 알맞은 치료로 색소를 회복한 경우 혹은 반점의 크기를 줄일 수있습니다.
또한, 백반증 치유에는 잘 맞은 영양 섭취가 필요하며, 위에서 말씀드렸던 음식을 섭취하면 좋다고 합니다. 백반증으로 인한 심리적 스트레스도 정갈하게야 하며, 정해진 기간인 피부 검사도 중요합니다.
백반증은 광범위한 피부 질환 중 한개로, 면역계의 문제로 인해 출현하는 것으로 알려져 있습니다. 증상은 일관성 있는 백색 반점으로 생겨날 수 하고, 해당 증상을 감지하게 된다면 즉시 전문의를 방문해야 하고요.
치료법은 멜라닌 세포 이식, 멜라닌 자극제, 광선 요법 등이 있으며, 전문 의사와 상담하여 최적의 치료법을 찾아보는 것이 좋습니다.
일상생활에서 피부 자극이나 스크래치를 받지 않도록 주의하시는 것이 최고 중요해요. 상처를 입은 부위에 백반증이 생기한 경우 혹은 퍼질 수 있기 때문이고요.
일광욕은 금지하는것이 좋다고 하며, 자외선 차단제 등을 사용해 자외선을 피하도록될 수 있도록하며 백반증 부위에 멜라닌 색소가 없어 쉽게 일광 화상을 입을 수 있고요. 이 밖에 만족한 과일과 채소 섭취를 하여 비타민 흡수를 돕는편이 좋다고 합니다.
백반증은 과일이나 채소를 통한 충분한 양의 비타민을 섭식하시는게 도움이 되며 자외선 차단제를 이용하여 일광화상과 피부손상을 예방하여 정상 피부색과의 색 대비를 줄이는 것이 도움을 준다고 하였습니다.
같이 읽으면 좋은 글
| ⏩부종에 좋은 음식 19가지 | ⏩단백뇨에 좋은 음식 15가지 |
| ⏩비듬 제거 방법 13가지 | ⏩부정맥 증상및원인 예방법 |
피부 트러블 원인 3가지
피부 트러블 원인 3가지 이번 포스팅에서는 피부 트러블 원인 3가지에 대해서 알아보도록 하겠어요. 여드름, 뾰루지와 같은 피부 트러블은 털을 생성하는 모낭에 붙어 있는 피지선에 세균과 피
info-supply.cu25.kr
'생활정보' 카테고리의 다른 글
| 입덧 완화 방법 12가지 (0) | 2023.06.27 |
|---|---|
| 아연 효능 15가지 (0) | 2023.06.27 |
| 혈액순환이 안되면 나타나는 증상 12가지 (0) | 2023.06.22 |
| 피부 트러블 원인 3가지 (0) | 2023.06.22 |
| 탈모에 좋은 음식 19가지 (0) | 2023.06.21 |